ホワイトニング(オフィスホワイトニング)
1. ホワイトニング(1回3SET 19800円)
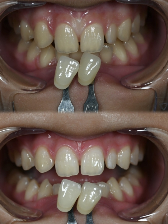
ホワイトニングとは
専用の薬剤を使って歯を白くする方法です。歯を削る必要がなく、自然で明るい口元を手に入れることができます。
当院では安全性の高い方法で、患者さまに合わせたホワイトニングをご提案しています。
⚫︎ホワイトニングのメリット
• 歯を削らずに白くできる
詰め物や被せ物のように歯を削る必要がなく、天然の歯をそのまま白くできます。
• 短期間で効果を実感できる
オフィスホワイトニング(医院で行う方法)では、1回の施術でも白さを感じられることがあります。
• 自然で美しい仕上がり
ご自身の歯の透明感を残したまま、明るい白さを得られます。
• 笑顔に自信が持てる
白い歯は第一印象を明るくし、表情に自信を与えてくれます。
⚫︎ホワイトニングのデメリット・注意点
• 効果には個人差がある
元の歯の色や生活習慣によって、白くなりやすさや持続期間に違いがあります。
数回行わないと求める白さにならない事もあります。
• 後戻りがある
時間の経過や飲食習慣(コーヒー・紅茶・赤ワイン・喫煙など)により、再び色がついてきます。
→ 定期的なメンテナンスで白さをキープできます。
• 一時的にしみることがある
薬剤の影響で一時的に知覚過敏のような症状が出る場合がありますが、多くは数日で落ち着きます。
• 人工の歯は白くならない
被せ物や詰め物などの人工歯は白くならないため、必要に応じて再治療が必要になる場合があります。• 薬剤を用いて歯を白くする治療です
ホワイトニングとは
専用の薬剤を使って歯を白くする方法です。歯を削る必要がなく、自然で明るい口元を手に入れることができます。
当院では安全性の高い方法で、患者さまに合わせたホワイトニングをご提案しています。
⚫︎ホワイトニングのメリット
• 歯を削らずに白くできる
詰め物や被せ物のように歯を削る必要がなく、天然の歯をそのまま白くできます。
• 短期間で効果を実感できる
オフィスホワイトニング(医院で行う方法)では、1回の施術でも白さを感じられることがあります。
• 自然で美しい仕上がり
ご自身の歯の透明感を残したまま、明るい白さを得られます。
• 笑顔に自信が持てる
白い歯は第一印象を明るくし、表情に自信を与えてくれます。
⚫︎ホワイトニングのデメリット・注意点
• 効果には個人差がある
元の歯の色や生活習慣によって、白くなりやすさや持続期間に違いがあります。
数回行わないと求める白さにならない事もあります。
• 後戻りがある
時間の経過や飲食習慣(コーヒー・紅茶・赤ワイン・喫煙など)により、再び色がついてきます。
→ 定期的なメンテナンスで白さをキープできます。
• 一時的にしみることがある
薬剤の影響で一時的に知覚過敏のような症状が出る場合がありますが、多くは数日で落ち着きます。
• 人工の歯は白くならない
被せ物や詰め物などの人工歯は白くならないため、必要に応じて再治療が必要になる場合があります。• 薬剤を用いて歯を白くする治療です


