審美歯科
審美歯科とは(セラミック/保険治療/自費治療/見た目の改善
)
審美歯科は「歯を美しくする治療」と思われがちですが、単に見た目を整えるだけではありません。
自然な美しさと噛む・話すといった機能の両立を目指すのが審美歯科です。
当院では、患者さまのご希望を大切にしながら、健康的で長く安心して使える口元をつくる治療をご提案しています。
⚫︎審美歯科でできること
ホワイトニング治療
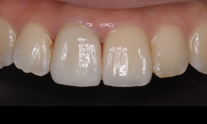
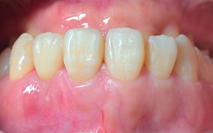
セラミック治療
• 金属を使わず、自然な色合いと透明感のある素材を使用
• 虫歯治療後の詰め物・被せ物を、白く美しく仕上げられます
• 金属アレルギーの心配がない点も安心です
⚫︎審美歯科(ラミネートベニア)
ラミネートベニア(費用8万円程度)
ラミネートベニアは、歯の表面を薄く削り、セラミック製の薄いシェル(つけ爪のようなもの)を貼り付ける治療です。
歯を大きく削らずに、短期間で自然で美しい歯並びや色合いを実現できるのが特徴です。
⚫︎ラミネートベニアでできること
• 歯の色を白く美しくしたい
• 歯の形や大きさを整えたい
• 前歯のすき間を改善したい(すきっ歯の治療)
• 軽度の歯並びの乱れをきれいに見せたい
⚫︎ラミネートベニアのメリット
• 短期間で美しい口元へ(数回の通院で完了)
• 自然な仕上がり(セラミックの透明感が周囲の歯と調和)
• 歯をあまり削らない(健康な歯を守りながら治療できる)
• 変色しにくい(ホワイトニングよりも色の安定性が高い)
⚫︎ラミネートベニアの注意点
• 歯ぎしりや食いしばりが強い方は、割れる可能性があるため注意が必要です
• 被せ物に比べて削る量は少ないですが、わずかに歯を削る必要があります
•色調あわせに数回かかるかもしれない
⚫︎当院のラミネートベニア治療の特徴
• 自然な色調の再現:周囲の歯に合わせたセラミックを精密に製作
• 機能性も重視:見た目だけでなく噛み合わせや長期的な安定
・ジルコニアクラウン
治療方法:金属を使用せずにセラミック材で作った被せものを使用して治療します。
副作用(リスク):歯ぎしり等により欠けたり割れたりすることがあります。
費用:1歯 約7万円程度
・メタルボンド・ハイブリッド冠
治療方法:歯を削って型を取ります。噛み合わせや見た目(形)を確認するため仮合わせを2回程行い、3回目で白いかぶせものを作っていきます。後日、白いかぶせものが出来上がってくるので、お口の中で調整して、セメントで固定していきます。
副作用(リスク):使っていくうちに、表面が欠けたり、割れたりすることがあります。
費用:メタルボンド 1本 7万円程度 ハイブリッド冠 3万5千円程度
⚫︎審美歯科のメリット
• 笑顔に自信が持てる
• 第一印象が明るくなる
• 詰め物・被せ物の金属色が気にならない
• 噛み合わせや機能も考慮しているので長持ちしやすい
当院の審美歯科の特徴
• 患者さまに合わせたプラン作成(ご希望の白さ・ご予算・ライフスタイルに応じてご提案)
• 精密な診断と治療(必要に応じてCTや拡大鏡を使用)
• 自然な仕上がり(周囲の歯に合わせた色や形を丁寧に調整)
■マウスピース
・スポーツマウスピース
治療方法:お口の中に虫歯や歯周炎等の問題がなければマウスピースの型取りをします。装着感などを調整してお渡し致します。運動時の衝撃から歯を守り、歯のすり減りを予防します。
副作用(リスク):強く噛みすぎる事で、破損、裂開するおそれがあります。
費用:片顎 2万円程度
期間:通院2~3回程度 ※マウスピース作成に1週間程度かかります。
)
審美歯科は「歯を美しくする治療」と思われがちですが、単に見た目を整えるだけではありません。
自然な美しさと噛む・話すといった機能の両立を目指すのが審美歯科です。
当院では、患者さまのご希望を大切にしながら、健康的で長く安心して使える口元をつくる治療をご提案しています。
⚫︎審美歯科でできること
ホワイトニング治療
セラミック治療
• 金属を使わず、自然な色合いと透明感のある素材を使用
• 虫歯治療後の詰め物・被せ物を、白く美しく仕上げられます
• 金属アレルギーの心配がない点も安心です
⚫︎審美歯科(ラミネートベニア)
ラミネートベニア(費用8万円程度)
ラミネートベニアは、歯の表面を薄く削り、セラミック製の薄いシェル(つけ爪のようなもの)を貼り付ける治療です。
歯を大きく削らずに、短期間で自然で美しい歯並びや色合いを実現できるのが特徴です。
⚫︎ラミネートベニアでできること
• 歯の色を白く美しくしたい
• 歯の形や大きさを整えたい
• 前歯のすき間を改善したい(すきっ歯の治療)
• 軽度の歯並びの乱れをきれいに見せたい
⚫︎ラミネートベニアのメリット
• 短期間で美しい口元へ(数回の通院で完了)
• 自然な仕上がり(セラミックの透明感が周囲の歯と調和)
• 歯をあまり削らない(健康な歯を守りながら治療できる)
• 変色しにくい(ホワイトニングよりも色の安定性が高い)
⚫︎ラミネートベニアの注意点
• 歯ぎしりや食いしばりが強い方は、割れる可能性があるため注意が必要です
• 被せ物に比べて削る量は少ないですが、わずかに歯を削る必要があります
•色調あわせに数回かかるかもしれない
⚫︎当院のラミネートベニア治療の特徴
• 自然な色調の再現:周囲の歯に合わせたセラミックを精密に製作
• 機能性も重視:見た目だけでなく噛み合わせや長期的な安定
・ジルコニアクラウン
治療方法:金属を使用せずにセラミック材で作った被せものを使用して治療します。
副作用(リスク):歯ぎしり等により欠けたり割れたりすることがあります。
費用:1歯 約7万円程度
・メタルボンド・ハイブリッド冠
治療方法:歯を削って型を取ります。噛み合わせや見た目(形)を確認するため仮合わせを2回程行い、3回目で白いかぶせものを作っていきます。後日、白いかぶせものが出来上がってくるので、お口の中で調整して、セメントで固定していきます。
副作用(リスク):使っていくうちに、表面が欠けたり、割れたりすることがあります。
費用:メタルボンド 1本 7万円程度 ハイブリッド冠 3万5千円程度
⚫︎審美歯科のメリット
• 笑顔に自信が持てる
• 第一印象が明るくなる
• 詰め物・被せ物の金属色が気にならない
• 噛み合わせや機能も考慮しているので長持ちしやすい
当院の審美歯科の特徴
• 患者さまに合わせたプラン作成(ご希望の白さ・ご予算・ライフスタイルに応じてご提案)
• 精密な診断と治療(必要に応じてCTや拡大鏡を使用)
• 自然な仕上がり(周囲の歯に合わせた色や形を丁寧に調整)
■マウスピース
・スポーツマウスピース
治療方法:お口の中に虫歯や歯周炎等の問題がなければマウスピースの型取りをします。装着感などを調整してお渡し致します。運動時の衝撃から歯を守り、歯のすり減りを予防します。
副作用(リスク):強く噛みすぎる事で、破損、裂開するおそれがあります。
費用:片顎 2万円程度
期間:通院2~3回程度 ※マウスピース作成に1週間程度かかります。



